Một vụ tai nạn thương tâm đã xảy ra khi tà áo dài của nữ sinh bị bánh xe cuốn vào, khiến em bị đập đầu mạnh xuống đường và chịu tổn thương sọ não nghiêm trọng. Sự việc không chỉ gióng lên hồi chuông cảnh báo về an toàn giao thông cho học sinh nữ mặc áo dài mà còn đặt ra nhiều vấn đề cần được quan tâm để phòng tránh những hậu quả đáng tiếc tương tự. Bài viết này sẽ cung cấp cái nhìn tổng thể về sự việc cũng như các giải pháp hữu ích.
Sự việc tai nạn và hậu quả nghiêm trọng
Vụ tai nạn xảy ra một cách bất ngờ khi tà áo dài của nữ sinh vô tình mắc vào bánh xe đang di chuyển. Hậu quả là nữ sinh bị mất thăng bằng và đập mạnh đầu xuống mặt đường, gây chấn thương sọ não nghiêm trọng. Sự việc này đã thu hút sự quan tâm của cộng đồng bởi tính chất nguy hiểm và những ảnh hưởng lâu dài đối với sức khỏe của nạn nhân. Việc tìm hiểu kỹ lưỡng hoàn cảnh tai nạn cũng như mức độ tổn thương sẽ giúp chúng ta nhận thức rõ hơn về trách nhiệm trong việc bảo vệ an toàn cho học sinh khi tham gia giao thông.
Thông tin về nạn nhân và hoàn cảnh tai nạn
Nữ sinh gặp tai nạn là một thành viên năng động trong cộng đồng học đường, thường xuyên sử dụng phương tiện cá nhân để di chuyển đến trường. Tai nạn xảy ra vào thời điểm cô đang điều khiển xe đạp điện trên một tuyến đường khá đông đúc và có mặt đường không bằng phẳng. Do tà áo dài hơi dài và rộng, phần vạt áo đã vô tình bị bánh xe cuốn vào khi nữ sinh di chuyển gần một đoạn dốc nhẹ. Sự việc diễn ra nhanh chóng khiến cô không kịp phản ứng để tránh nguy hiểm.
Diễn biến tai nạn do tà áo dài vướng bánh xe
Khi tà áo dài bị cuốn vào bánh xe, nữ sinh ngay lập tức mất cân bằng dẫn đến té ngã mạnh. Đầu của cô va chạm trực tiếp với mặt đường cứng, gây ra vết thương nghiêm trọng ở vùng đầu. Ngay sau đó, người đi cùng đã nhanh chóng đưa cô đến cơ sở y tế gần nhất để kịp thời xử lý. Sự cố này làm nổi bật những rủi ro tiềm tàng từ việc mặc trang phục truyền thống khi tham gia giao thông mà ít ai nghĩ tới trước đây.

Hình ảnh kiểm tra vị trí chấn thương sọ não của nữ sinh
Tổn thương và triệu chứng sau tai nạn
Sau cú va chạm mạnh, nữ sinh xuất hiện các dấu hiệu nghiêm trọng như mất ý thức tạm thời, đau đầu dữ dội và buồn nôn. Qua kiểm tra sơ bộ, bác sĩ nhận thấy có dấu hiệu máu tụ dưới màng cứng cùng các vết rách nhỏ tại hộp sọ. Những tổn thương này không những ảnh hưởng ngay lập tức tới chức năng vận động mà còn có thể để lại di chứng lâu dài nếu không được chăm sóc đúng cách và kịp thời.
Quy trình cấp cứu và điều trị tại bệnh viện
Ngay khi nhập viện, đội ngũ y tế chuyên nghiệp đã tiến hành thăm khám kỹ càng nhằm đánh giá chính xác mức độ nghiêm trọng của chấn thương. Các bước chẩn đoán hình ảnh được thực hiện nhanh chóng để phát hiện các tổn thương bên trong hộp sọ, đồng thời chuẩn bị cho ca phẫu thuật cứu sống bệnh nhân nếu cần thiết. Quy trình cấp cứu bài bản đã góp phần giúp nữ sinh vượt qua giai đoạn nguy kịch và bước vào quá trình hồi phục tích cực.
Tình trạng sức khỏe khi nhập viện
Khi được đưa đến bệnh viện, nữ sinh vẫn còn trong trạng thái lơ mơ và có dấu hiệu rối loạn tri giác nhẹ. Nhân viên y tế nhận định đây là trường hợp cấp cứu khẩn cấp bởi các biểu hiện đi kèm như co giật nhẹ và khó khăn trong việc giữ thăng bằng. Các chỉ số huyết áp cùng nhịp tim nhanh cũng cho thấy cơ thể đang chịu áp lực lớn do chấn thương vùng đầu.
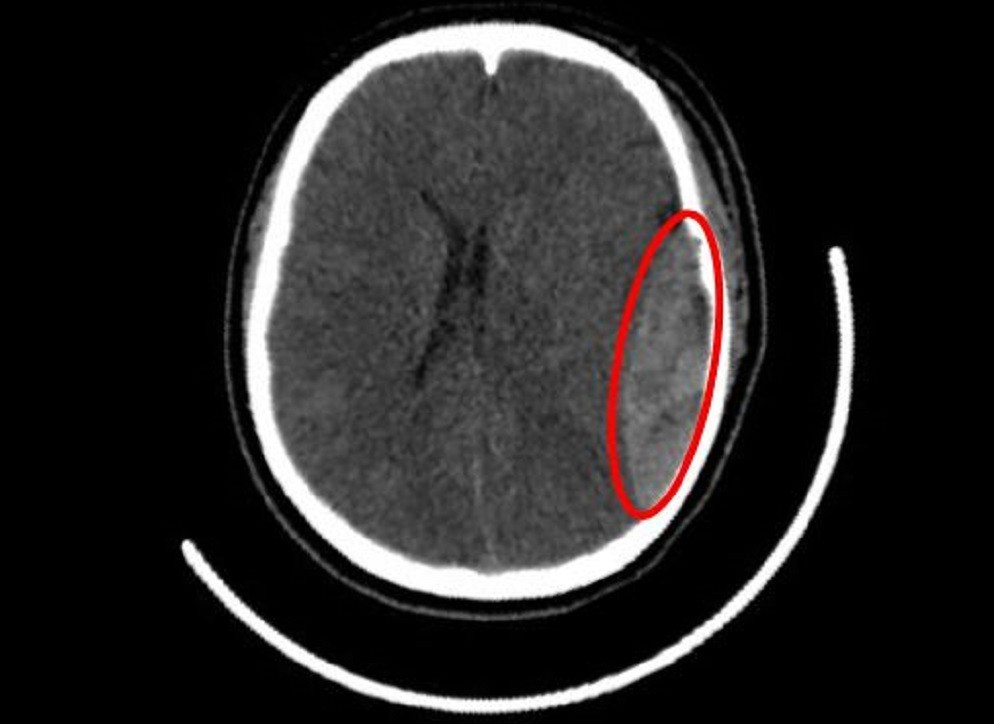
Kết quả chẩn đoán hình ảnh và mức độ tổn thương
Hình ảnh CT scan cho thấy rõ vết nứt trên hộp sọ cùng với hiện tượng tụ máu ngoài màng cứng ở khu vực vùng thái dương bên trái. Đây là dạng tổn thương rất nguy hiểm nếu không được can thiệp sớm vì máu tụ có thể tạo áp lực lên não bộ gây giảm chức năng thần kinh hoặc thậm chí tử vong. Bác sĩ chuyên khoa đã đánh giá tình trạng này cần phẫu thuật khẩn cấp để loại bỏ máu tụ và ổn định sức khỏe bệnh nhân.

Phẫu thuật cấp cứu lấy máu tụ ngoài màng cứng
Ca phẫu thuật khẩn cấp và kết quả phục hồi
Ca mổ diễn ra thành công nhờ sự phối hợp nhanh chóng giữa các bác sĩ ngoại thần kinh và gây mê hồi sức. Máu tụ ngoài màng cứng được loại bỏ triệt để, đồng thời các tổn thương trên mẫu sọ cũng được xử lý khéo léo nhằm hạn chế tối đa biến chứng sau mổ. Sau vài ngày theo dõi tích cực tại phòng hồi sức, sức khỏe nữ sinh tiến triển tốt với các chức năng vận động và nhận thức dần hồi phục bình thường.
Nguy cơ tai nạn từ tà áo dài khi tham gia giao thông
Tà áo dài vốn là biểu tượng văn hóa truyền thống rất đẹp mắt nhưng đồng thời cũng tiềm ẩn những rủi ro riêng biệt khi người mặc phải di chuyển trên phương tiện hai bánh hoặc địa hình phức tạp. Việc mặc áo dài với phần vạt rộng hay quá dài dễ dàng bị cuốn vào bánh xe hoặc các chi tiết máy gây nguy hiểm khó lường. Nhiều trường hợp tương tự đã từng xảy ra khiến cộng đồng chú ý hơn về vấn đề này.
Đặc điểm dễ gây tai nạn của tà áo dài và các loại áo khác
Tà áo dài thường thiết kế ôm sát thân trên nhưng có phần vạt hai bên khá dài suông thoải khiến dễ dàng bị cuốn vào bánh xe hoặc trục truyền động khi người mặc sử dụng xe đạp điện hoặc xe máy. Ngoài ra, những loại trang phục có vạt rộng như váy xòe hoặc quần culottes cũng có thể gây nguy hiểm tương tự nếu không được xử lý gọn gàng trước khi di chuyển trên đường phố đông đúc và nhiều ổ gà.
Những trường hợp tương tự đã xảy ra gần đây
Trong khoảng thời gian gần đây, không ít vụ tai nạn xuất phát từ việc trang phục mắc vào bộ phận quay của phương tiện đã được báo chí phản ánh rộng rãi. Nhiều học sinh hoặc người đi đường phải nhập viện với các chấn thương từ nhẹ đến nặng do té ngã đột ngột hoặc va đập mạnh sau khi bị cuốn tà áo hay váy vào bánh xe lúc đang lưu thông trên phố đông người hay đoạn đường trơn trượt.

Sức khỏe nữ sinh ổn định sau phẫu thuật
Giải pháp phòng tránh tai nạn cho học sinh mặc áo dài
Để giảm thiểu nguy cơ tai nạn liên quan đến tà áo dài khi tham gia giao thông, cần xây dựng thói quen giữ gìn an toàn cho bản thân ngay từ khi di chuyển bằng phương tiện cá nhân. Học sinh nên biết cách xử lý gọn gàng trang phục phù hợp giúp tránh vạt áo bị cuốn vào bánh xe hoặc trục máy móc trong lúc lái xe. Đồng thời vai trò của nhà trường trong giáo dục kiến thức an toàn giao thông trở nên cực kỳ quan trọng giúp nâng cao nhận thức cho học trò.
Cách giữ tà áo dài gọn gàng khi di chuyển bằng xe đạp điện, xe máy
Mặc dù tà áo dài mang nét duyên dáng đặc trưng nhưng học sinh nên tạo thói quen xếp gọn hai bên vạt hoặc dùng dây buộc nhẹ nhàng để giữ cố định phần vạt phía dưới nhằm hạn chế khả năng mắc vào bánh xe trong quá trình lái xe. Nếu cần thiết có thể chọn lựa mẫu mã có độ dài vừa phải phù hợp với hoạt động di chuyển nhằm đảm bảo an toàn tuyệt đối mà vẫn giữ vẻ đẹp truyền thống.
Vai trò của nhà trường trong hướng dẫn an toàn giao thông cho học sinh
Nhà trường cần chủ động tổ chức chương trình tập huấn kỹ năng lái xe an toàn kết hợp tuyên truyền về những rủi ro tiềm ẩn từ trang phục truyền thống như áo dài để giúp học sinh hiểu rõ hơn về cách phòng tránh tai nạn hiệu quả. Việc đưa nội dung này vào giáo dục thường xuyên sẽ góp phần giảm thiểu đáng kể các sự cố đáng tiếc xảy ra đối với học trò trong mọi tình huống giao thông khác nhau.
Lời khuyên dành cho phụ huynh về lựa chọn phương tiện an toàn
Phụ huynh nên tư vấn con em mình sử dụng phương tiện phù hợp với độ tuổi và kỹ năng điều khiển để đảm bảo an toàn tối đa khi di chuyển hàng ngày. Việc khuyến khích sử dụng xe đạp thay vì xe máy điện nếu quãng đường gần sẽ hạn chế nguy cơ té ngã do trang phục hay điều kiện mặt đường xấu ảnh hưởng đến khả năng kiểm soát phương tiện.
Những lưu ý khi di chuyển trên mặt đường trơn hoặc trời mưa
Khi tham gia giao thông trên bề mặt trơn trượt do mưa hoặc sương giá, cần đặc biệt cẩn trọng bởi lúc này khả năng kiểm soát phương tiện giảm sút đáng kể. Học sinh nên giữ tốc độ vừa phải đồng thời tăng khoảng cách an toàn với các phương tiện phía trước để có đủ thời gian xử lý tình huống bất ngờ tránh té ngã làm tăng nguy cơ mắc tà áo hay váy vào bánh xe gây hậu quả nghiêm trọng.
Các lưu ý quan trọng khi gặp tình huống tà áo dài bị cuốn vào bánh xe
“Trong trường hợp chẳng may gặp sự cố tà áo hoặc váy bị cuốn vào bánh xe đang chạy, việc xử lý đúng cách ngay lúc đó rất quan trọng để giảm thiểu tổn thương cho bản thân. Người gặp sự cố nên bình tĩnh dừng lại hoặc nhờ sự hỗ trợ thay vì cố gắng tháo vạt áo khi phương tiện vẫn đang di chuyển bởi điều này dễ khiến mất cân bằng dẫn tới ngã mạnh hơn nữa.”
Hành động cần làm ngay để tránh nguy hiểm thêm khi gặp sự cố
“Điều đầu tiên cần làm là ngay lập tức tắt máy phương tiện để tránh bánh xe tiếp tục quay kéo mạnh thêm phần vạt váy mắc kẹt bên dưới gây tổn hại nghiêm trọng hơn nữa đến người mặc. Sau đó hãy từ từ tháo bỏ phần trang phục mắc kẹt nếu có thể hoặc nhờ người xung quanh giúp đỡ một cách an toàn nhằm giảm rủi ro xảy ra những va chạm vật lý ngoài ý muốn.”
Tác hại của việc cố gỡ tà áo khi xe đang chạy
“Việc cố ý kéo hay giãy giụa tháo tà áo khỏi bánh xe trong lúc phương tiện vẫn vận hành không chỉ làm mất cân bằng người điều khiển mà còn dễ dẫn tới hiện tượng té ngã bất ngờ gây chấn thương nghiêm trọng hơn cả tình trạng ban đầu. Thậm chí đôi lúc còn kéo theo những hậu quả dây chuyền như va quệt với các phương tiện khác trên đường làm phát sinh nhiều nguy hiểm phức tạp khó kiểm soát.”
Cảnh báo về tổn thương sọ não do chấn thương vùng đầu
“Chấn thương vùng đầu đặc biệt liên quan tới máu tụ ngoài màng cứng luôn tiềm ẩn nhiều nguy cơ lớn bởi áp lực nội sọ tăng cao có thể dẫn đến suy giảm chức năng não bộ hoặc tử vong nếu không được phát hiện sớm và xử lý kịp thời. Nắm bắt tri giác triệu chứng ban đầu cùng việc thăm khám y tế đầy đủ là yếu tố then chốt giúp bảo vệ tính mạng bệnh nhân sau những va chạm mạnh ở vùng đầu.”
Đặc điểm nguy hiểm của máu tụ ngoài màng cứng trong chấn thương sọ não
Máu tụ ngoài màng cứng thường hình thành do rách mạch máu giữa xương sọ và màng não khiến máu lan truyền tạo áp lực lớn lên não bộ bên dưới. Tình trạng này diễn biến nhanh chóng nhưng biểu hiện lâm sàng ban đầu có thể chưa rõ ràng khiến nhiều người chủ quan bỏ qua dẫn đến hậu quả nghiêm trọng như liệt vận động hoặc tử vong nếu không can thiệp sớm.

Cảnh báo nguy hiểm của máu tụ ngoài màng cứng
Triệu chứng cần theo dõi sau va chạm vùng đầu
Sau mỗi va đập vùng đầu dù nhẹ hay mạnh cũng cần theo dõi kỹ các dấu hiệu như đau đầu kéo dài không giảm, mất ý thức thoáng qua, buồn nôn liên tục hay co giật bất thường bởi đây đều là tín hiệu cảnh báo tổn thương sâu bên trong hộp sọ đang phát triển âm thầm nhưng rất nguy hiểm nếu không kịp thời chữa trị.
Tầm quan trọng của việc thăm khám sớm và theo dõi liên tục sau chấn thương đầu
Việc chủ động đưa người bị va chạm vùng đầu đi khám chuyên khoa càng sớm càng giúp phát hiện chính xác mức độ tổn thương nhằm có hướng can thiệp kịp thời tránh biến chứng nghiêm trọng như liệt vận động hay suy giảm trí nhớ lâu dài. Ngoài ra cần duy trì theo dõi liên tục trong vòng ít nhất vài tuần sau chấn thương để phát hiện mọi thay đổi bất thường về sức khỏe thần kinh.
Bảo vệ sức khỏe học sinh tránh tai nạn do bánh xe cuốn tà áo dài là nhiệm vụ cấp thiết
Sự việc “bánh xe cuốn tà áo dài nữ sinh bị đập đầu xuống đường nứt hộp sọ” đã thức tỉnh chúng ta về những nguy cơ tiềm ẩn từ thói quen mặc trang phục truyền thống kết hợp với phương tiện cá nhân trong môi trường giao thông hiện đại đầy biến động. Việc nâng cao nhận thức phòng tránh tai nạn qua giáo dục kỹ năng an toàn cùng sự đồng hành tích cực từ gia đình – nhà trường sẽ góp phần giữ gìn an toàn tuyệt đối cho thế hệ trẻ đồng thời bảo tồn những giá trị văn hóa quý báu một cách bền vững.

